Ortopedija vilica – ortodont u Beogradu

Ortodoncija je specijalistička grana stomatologije koja se bavi prevencijom, dijagnostikovanjem i ispravljanjem nepravilnog položaja zuba ili odnosa između vilica.

U Stomatološkoj ordinaciji dr Minić ortodontsku terapiju vodi specijalista ortopedije vilica sa višegodišnjim iskustvom u lečenju dece, adolescenata i odraslih pacijenata.

Pravilno postavljanje zuba je neophodno ne samo iz estetskih, već i zbog funkcionalnih razloga i prevencije parodontalnih oboljenja. Potencijalni kasniji gubitak zuba, kao i problemi s viličnim zglobom mogu se preduprediti uz pomoć ortodontskih metoda.

U dečjem uzrastu moguće je uticati ne samo na dentalne (zubne), već i na skeletne (koštane) nepravilnosti. U tom periodu, moguće je ukloniti i neku nepoželjnu naviku koja ugrožava zdravlje (disanje na usta, tiskanje jezika i sisanje prsta).

Najčešći znakovi i simptomi ortodontskih anomalija jesu:

  • Nepravilan položaj zuba (krivi ili rotirani zubi)
  • Razmak ili razmaci (dijasteme) između zuba
  • Preklapanje zuba (teskoba zubnih nizova)

Šta je ortopedija vilica

Ortopedija vilica obuhvata:

  • ispravljanje nepravilnog položaja zuba
  • korekciju odnosa gornje i donje vilice
  • prevenciju daljih ortodontskih
  • komplikacija
  • poboljšanje funkcije žvakanja i govora
    unapređenje estetike osmeha 

Pravilno postavljeni zubi nisu važni samo zbog estetike već i zbog zdravlja desni i pravilnog opterećenja zglobova vilice.

Kada posetiti ortodonta

Ortodontska terapija preporučuje se kod:

  • zbijenih zuba
  • razmaknutih zuba
  • nepravilnog zagrižaja
  • ukrštenog zagrižaja
  • otvorenog zagrižaja
  • isturenih prednjih zuba

Rana dijagnostika omogućava jednostavniju i kraću terapiju.

Razlozi za pristupanje

Ortodontskoj terapiji

Zdravstveni

Ortodontskom terapijom poboljšavamo uslove za održavanje oralne higijene što omogućava dugotrajno zdravlje zuba.

Funkcionalni

Korekcijom nepravilnosti položaja i uspostavljanjem pravilne funkcije zuba i vilica poboljšava se zagrižaj i olakšava ishrana pacijenta.

Pripremni

Ortodoncijom zuba i vilice kod bezubih pacijenata postiže se priprema za prihvatanje protetskih nadoknada (mostova, krunica) i implantata (All on 6, All on 4, Hollywood Smile), kako bi se omogućila i produžila njihova funkcionalnost i dugotrajnost.

Estetski i psihički

Ortodoncijom zuba se postiže drastično poboljšanje izgleda zuba pacijenata, ali i celog lica. Lep osmeh i pravilna simetrija lica u direktnoj su vezi sa povećanjem samopouzdanja, što dovodi do poboljšanja privatnog i profesionalnog života.

Ortodoncija kod dece

Prvi ortodontski pregled preporučuje se već oko 7. godine života.

Kod dece se koriste:

  • mobilni aparati
  • funkcionalni ortodontski aparati
  • interceptivna terapija

Cilj terapije je pravilno vođenje rasta vilica i sprečavanje kasnijih komplikacija.

Proteze za decu - Dr Minić

Ortodoncija kod odraslih

Sve veći broj odraslih pacijenata odlučuje se za ortodontsku terapiju.

Najčešće opcije:

  • fiksne proteze
  • estetske proteze
  • providne folije

Savremene metode omogućavaju diskretnu terapiju bez narušavanja svakodnevnih aktivnosti.

Vrste ortodontskih aparata

Najefikasnije rešenje za kompleksne ortodontske nepravilnosti.

Postoji više tipova fiksnih proteza, pri čemu sve jednako dobro obavljaju svoju primarnu ulogu vraćanja zuba u pravilan položaj. Razlike su samo u izgledu proteze, njenoj udobnosti, intervalu između kontrola i vidljivosti proteze.

Fiksna proteza sastoji se iz tri dela:

  • bravica koje se lepe na zube
  • lukova
  • gumica, koje su spona između luka i bravice. Kod samoligirajućih proteza ne postoje gumice.

S obzirom na položaj, odnosno na kojoj strani zuba se postavljaju, proteze mogu biti:

  • Vestibularne –klasične proteze koje se lepe sa spoljašnje (prednje) strane zuba
  • Lingvalne – nalaze se sa unutrašnje strane zuba prema jeziku

Najčešće se koriste kod dece u fazi rasta.

Mobilne proteze nose deca uzrasta između pet i jedanaest godina. Funkcija proteze je ista kao kod fiksnih, ali je oblik proteze prilagođen zubima koji rastu. Deca protezu nose najmanje četiri sata dnevno, kao i tokom noći, tako da je ne moraju nositi u školu. Skidaju je tokom jela, uz obavezno pranja zuba pre vraćanja proteze. Mobilni aparat je vidljiv i u određenoj meri otežava govor, mada se deca brzo navikavaju da razumljivo govore sa aparatom.

Pored korekcije zagrižaja i pozicije zuba, ona služi i za odvikavanje od loših navika poput sisanja prsta, guranja zuba jezikom i disanja na usta. Kod ove vrste terapije, važno je da pacijent bude disciplinovan i da redovno nosi protezu jer će samo to dati adekvatne rezultate.

Poseban tip mobilnih proteza su Invisalign proteze.

Providne folije za ispravljanje zuba - Beograd

Providne folije

Providne folije predstavljaju savremenu i diskretnu alternativu fiksnim ortodontskim aparatima, posebno popularnu među odraslim pacijentima. Izrađuju se individualno za svakog pacijenta i omogućavaju postepeno pomeranje zuba bez vidljivih bravica i žica.

Prednosti providnih folija su estetska neupadljivost, mogućnost skidanja tokom jela i održavanja oralne higijene, kao i veći komfor tokom terapije. Namenjene su korekciji blagih do umerenih ortodontskih nepravilnosti i često su odličan izbor za pacijente koji žele diskretno ortodontsko lečenje.

U ordinaciji dr Minić terapija providnim folijama planira se individualno, uz detaljnu dijagnostiku i praćenje toka pomeranja zuba radi postizanja stabilnih i dugoročnih rezultata.

Cena ortodontske terapije u Beogradu

Cena ortodontske terapije u Beogradu zavisi od više faktora, uključujući vrstu ortodontskog aparata, složenosti nepravilnosti i trajanja terapije.

Nakon specijalističkog pregleda ortodonta određuje se individualni plan lečenja i precizna procena troškova.

Cene za aparate su date za obe vilice!

  • Fiksni aparati od 1300 do 3000 €
  • Mobilne aparati/proteze 250 do 700 €
  • Providne folije (alajneri) po foliji 100 €
Zakažite besplatan pregled ili on-line konsultacije!
Dr. Marija Minić - Specialist in jaw orthopedics

Pitanja i odgovori

Da li postoji starosno ograničenje za početak ortodontske terapije?

Terapijske mogućnosti kod dece u pubertetskom razvoju veće su nego kod pacijenata koji su završili s rastom. Kod odraslih pacijenata moguće je ortodontski ispravljati zube, ali ne možemo uticati na skeletne (koštane) strukture.

Decu bi trebalo dovesti na pregled kod ortodonta oko pete/šeste godine, nakon izbijanja prvih stalnih zuba, a naročito u slučajevima: nagnutih zuba, preranog gubitka mlečnih zuba, zbijenih zuba, dugotrajnog sisanja prsta ili drugih loših navika, kod teškoća u govoru, problema kod žvakanja ili zatvaranja usta.

Trajanje ortodontske terapije je individualno. Kod fiksnih aparata (proteza) se nosi u proseku 18 meseci.

Žilava hrana: meso

Hrskava hrana: kokice i led

Lepljiva hrana: karamele, bombone i žvakaće gume

Tvrda hrana: orasi

Namirnice koje moraju da se jako grizu, kao što su kukuruz u klipu, jabuke i šargarepa

U slučaju da bravica spadne, pacijent treba što pre da dođe u ordinaciju kako bi se postavila druga.

Neophodne su dve posete stomatologu kako bi se izradio aktivni ili pasivni ortodontski aparat. Pri prvoj poseti uzima se otisak. Tokom druge se dobija gotov aparat, uz stručno uputstvo o njegovom pravilnom korišćenju i održavanju.

Aktivni ortodontski aparat se pomoću žičanih elemenata (pasivni deo aparata) pričvršćuje za zube. Na taj način stabilno stoji u ustima, a sadrži aktivne elemente pomoću kojih deluje na:

  • Pomeranje pojedinačnih zuba ili grupe zuba
  • Širenje i oblikovanje vilica i zubnih lukova
  • Održavanje postignutih rezultata posle terapije fiksnim protezama

Funkcionalni ortodontski aparati svoje dejstvo baziraju na aktiviranju funkcije određene grupe mišića. Proizvode silu koja se prenosi na koštano tkivo (gornju i donju vilicu) i dentoalveolarne strukture (zubi i njihov potporni aparat). Ovi aparati takođe deluju i na temporomandibularni (vilični) zglob.

Na taj način utiče se na modifikaciju rasta, ispravljanje zagrižaja i korekciju nepravilnih orofacijalnih funkcija (gutanje, disanje, govor). U mlađem uzrastu, koriste se i za odvikavanje od loših navika, poput disanja na usta, stiskanja jezika ili sisanja prsta.

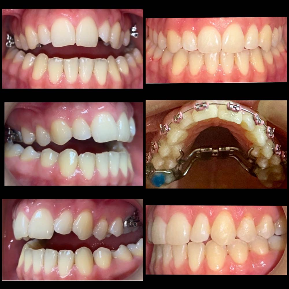
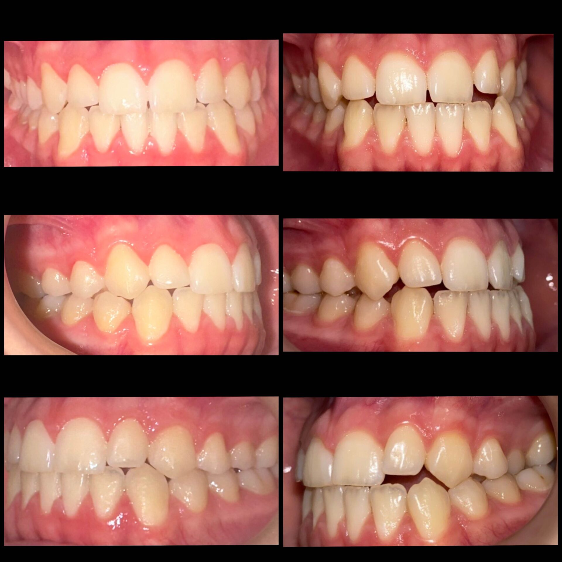
Galerija

Pozovite nas Pošaljite email Kontaktirajte nas preko Viber-a WhatsApp

Besplatne online konsultacije

Najkraći put da dobijete plan lečenja i cenu intervencije za vaš slučaj

Trenutno na akciji:

  • IMPLANTATI 2 plus 1 GRATIS (važi samo za implante)
  • Bezmetalne krunice 2 plus 1 GRATIS
  • All on 4 od 2700 eur
  • Hollywood smile 3300 eur